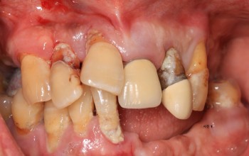
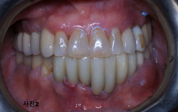
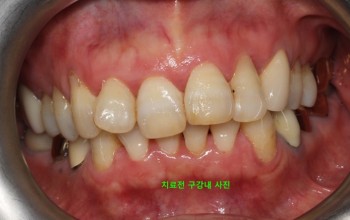
치료사례

Total 11건 1 페이지

검색

- -