틀니 없이, 자연치아처럼 사용하는 임플란트 치료
이 치료는 틀니가 불편한 분들을 위한 고정식 임플란트 치료입니다.치아가 많이 빠졌지만, 아직 활동적이고 식사를 편하게 하고 싶은 분들께 적합합니다.
치료가 필요한 이유
치아가 많이 빠진 상태에서는 음식을 제대로 씹기 어렵고 틀니를 사용하면 흔들리거나 아플 수 있으며 발음이나 외모에 자신감이 떨어질 수 있습니다.
특히 비교적 젊거나 활동적인 분들은 일반 틀니만으로는 만족스러운 생활이 어렵습니다.
풀아치 고정성 보철치료는 잇몸뼈에 임플란트 4~5개 정도를 심고, 그 위에 치아 전체를 단단히 고정하는 치료로,
치료방법
검사와 상담X-ray 촬영과 구강 검사를 통해
잇몸뼈 상태와 전신 건강을 확인합니다.
임플란트 수술필요한 치아를 정리하고
상·하악에 임플란트를 식립합니다.
수술 후 바로 임시 치아 장착수술 후 치아 없이 지내지 않도록
임시 고정 치아를 바로 끼워드립니다.
최종 치아 완성약 4~5개월 후 잇몸이 안정되면
지르코니아 최종 치아로 교체합니다.
치료의 장점
틀니처럼 빠지지 않음
씹는 힘이 강함
발음이 자연스러움
외모와 자신감 회복
오래 사용 가능
환자분들이 가장 많이 물어보는 질문
수면마취 또는 국소마취로 통증 부담을 줄입니다.
나이보다 건강 상태와 잇몸뼈 상태가 중요합니다.
틀니는 얹어서 쓰는 것이고, 풀아치는 고정해서 쓰는 치아입니다.
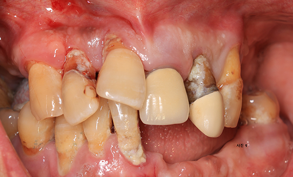
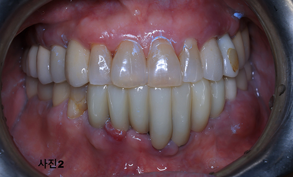
틀니를 상담하기 위해 내원한 50대의 환자로써 (사진1 ) 파노라마사진을 촬영하고 구강검진(사진2) 하여보니,
아직 나이도 젊고 일반 틀니로서는 기능회복이 어려울 것 같아 임플란트를 이용한 똑딱이 틀니를 설명하였다.
그러나 환자가 틀니 대신에 고정성 보철물을 문의하기에 환자의 구강상태, 전신 건강상태, 치료비의 감당능력을
서로 상의하고 상하악에 최소 4개씩 식립하고 풀아치 고정성 보철물을 제작하기로 하였다.
수술 당일 수면마취후 12개의 치아를 다 발치하고 상악에 5개 하악에 4개를 식립하고 (사진3) 왼쪽 마지막 어금니는 단단하여
살리면서 그 상태를 컴퓨터 스캐닝하여 본 병원에서 다음날 (사진4)와 같이 임시 고정성 보철물을 제작하여 심미적 기능과 저작기능을 제공하여 주었다.
5개월후에 영구적인 티타늄과 지르코니아 보철물이 구강내 장착된 (사진5)와 x-ray(사진 6)모습이다.






2025년 10월 아래턱이 심하게 붓고 너무나도 아픈 모습으로 내원하신 70대 여성분 (사진1)과
X-ray 촬영 (사진2)후에 구강검진을 하여보니 임플란트를 식립한 모든 부위에 심한 부종과 통증이 그리고 고름이 흘러나오고 있었다.
(사진3) 그 부위를 열어보니 너무 촘촘히 박히고 임플란트를 제대로 식립 못하여 임플란트의 나사선들이 잇몸뼈에 제대로 들어가 있지 못하고 밖으로 노출되어 있었다.
저렴한 임플란트를 선전하는 병원들에서 임플란트를 필요이상의 박리다매의 현상을 보여주고 있다.
환자의 아래턱 뼈의 상태가 심한감염에 의하여 임플란트를 더 이상 심지 못하기에 양쪽 구치부위에 5개를 식립하고,
풀아치 고정성 보철물을 하여주기로 하였다. 국소마취후, (사진4)와 같이 감염된 모든 임플란트를 제거 후,
(사진5)과 같이 5개의 임플란트를 식립해 4개를 사용하여, (사진6)과 같이 본원에서 CAD/CAM을 이용하여 풀아치 임시 보철물을 제작하여
심미적,기능적인 면을 수술후 빠른 시간내에 환자분이 만족스럽게 임시치아를 만들어 주었다.





