병원소개
인사말
의료진소개
진료안내 및 오시는길
임플란트
임플란트란?
즉시 임플란트
전악 임플란트
틀니 임플란트
보험 임플란트
임플란트 재수술
풀아치 임플란트
CAD/CAM
CAD/CAM
보철치료
심미치과
크라운
브릿지
틀니
일반치료
충치치료
치주치료
신경치료
사랑니발치
고객센터
공지사항
자주묻는 질문과답변
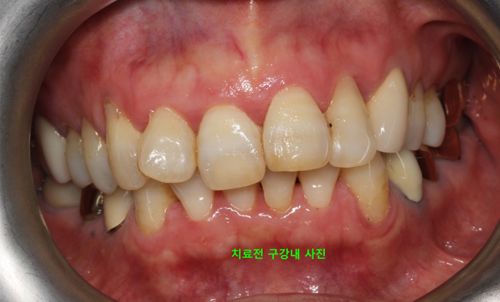
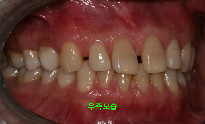
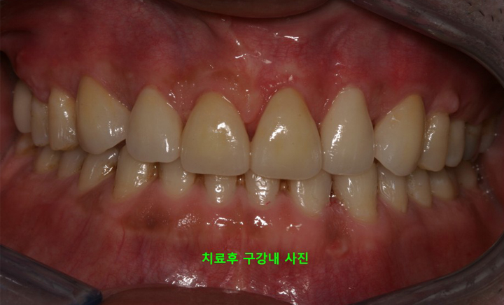
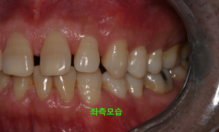
치료사례
원장님 취미생활
보철치료
심미치과
크라운
브릿지
틀니
CASE #1
CASE #2
CASE #3
빠른상담
빠른상담
연락처를 남겨주시면
친절하게 상담해 드리겠습니다.
이름
연락처
-
-
상담분야
임플란트
치아교정
인비절라인
충치치료
심미보철
스케일링
잇몸치료
사랑니발치
턱관절치료
개인정보
수집동의